Theo thông tin ban đầu, sáng cùng ngày, sau khi vừa dừng xe để trả khách trên địa bàn phường Bình Phú (TP.HCM), nam tài xế bất ngờ co giật, co gồng toàn thân, sùi bọt mép và yếu liệt nửa người bên phải. Người dân xung quanh phát hiện sự việc, gọi cấp cứu 115 và giữ nguyên hiện trường để nhân viên y tế tiếp cận.

Nam tài xế trẻ đột quỵ tại ghế lái sau khi vừa trả khách
ẢNH: BS
Trạm cấp cứu vệ tinh 115 tại Bệnh viện Gia An 115 nhanh chóng có mặt và chuyển bệnh nhân đến Bệnh viện Nhân dân 115 để cấp cứu chuyên sâu.
Phó giáo sư - tiến sĩ Nguyễn Huy Thắng, Trưởng khoa Bệnh lý mạch máu não Bệnh viện Nhân dân 115, cho biết đây là trường hợp đột quỵ xuất huyết não nguy kịch. Ông nhấn mạnh: đối với tài xế chuyên nghiệp, đặc biệt là người thường xuyên lái xe đường dài, lái đêm, cần định kỳ kiểm tra sức khỏe để tầm soát các bệnh lý nền như tăng huyết áp, tiểu đường, rối loạn giấc ngủ hoặc tiền sử co giật. Ngoài ra, thói quen sử dụng thuốc chống buồn ngủ không kiểm soát cũng có thể làm huyết áp tăng vọt và dẫn đến đột quỵ.

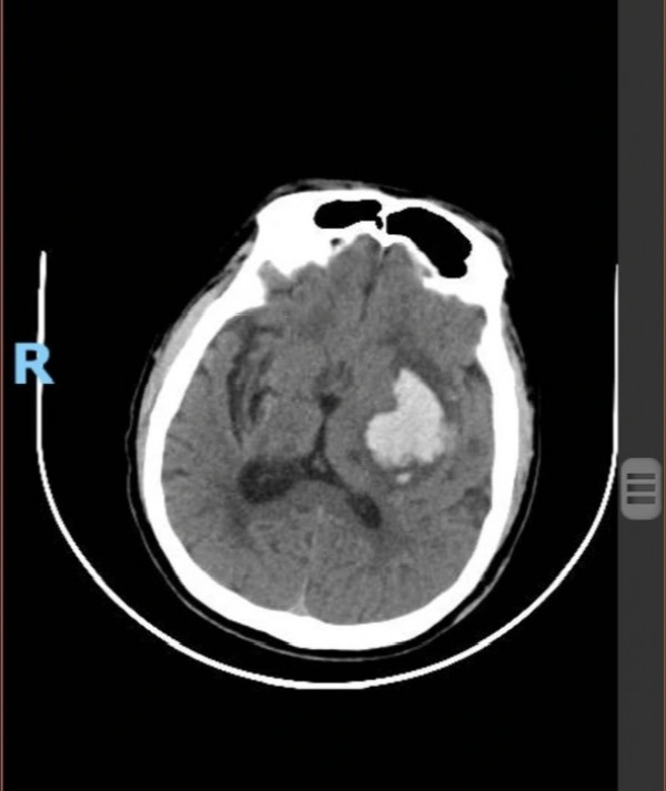
Kết quả chẩn đoán hình ảnh cho thấy nam tài xế bị xuất huyết não bán cầu trái rất nặng
ẢNH: BSCC
Phó giáo sư - tiến sĩ Huy Thắng cũng lưu ý: khi phát hiện người bị đột quỵ, cần sơ cứu ban đầu bằng cách cho người bệnh nằm nghiêng, nới rộng cổ áo, giữ đường thở thông thoáng và nhanh chóng đưa đến cơ sở y tế có khả năng xử trí đột quỵ để tranh thủ "thời gian vàng" tái thông mạch máu.
Thời gian gần đây đã ghi nhận một số trường hợp tài xế đột quỵ khi đang điều khiển phương tiện, tiềm ẩn nguy cơ nghiêm trọng cho bản thân và hành khách. Do đó, các tài xế hành nghề cần đặc biệt chú ý chăm sóc sức khỏe, tuân thủ khám định kỳ và tuyệt đối không lạm dụng thuốc kích thích để tỉnh táo khi lái xe.

Nam tài xế bị đột quỵ được chuyển đến Bệnh viện Nhân dân 115. Bác sĩ khuyến cáo tài xế chuyên nghiệp lái xe đường dài, lái xe đêm cần kiểm tra sức khỏe định kỳ, không lạm dụng các chất kích thích
ẢNH: BSCC




.jpg)







.jpg)



